팝업레이어 알림

팝업레이어 알림이 없습니다.

#춘추치과교정과의원의 교정크리닉
CHUNCHU'S ORTHODONTIC CLINIC

#공지사항
CHUNCHU'S ORTHODONTIC CLINIC

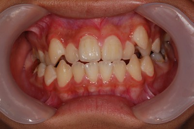
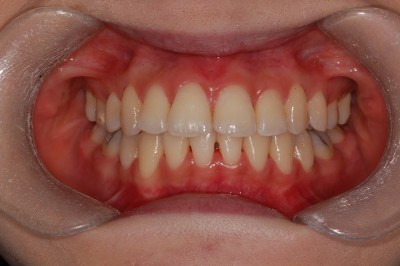
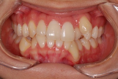
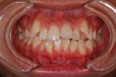
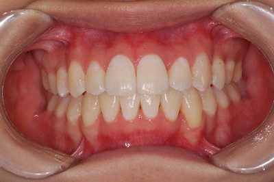
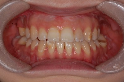
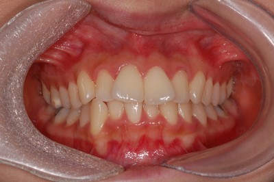
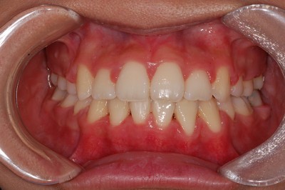
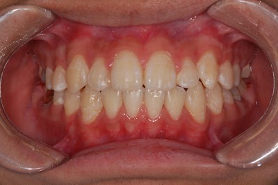
#before_after
끝이 다른 시작, 춘추치과교정과를 방문해주신 분들의 전후 사진을 확인해보세요.

마우스를 올려 치료 후 모습을 확인해 보세요.

고객센터

063-464-0200

  • 화, 금요일

    10:00 ~ 19:00
  • 수요일

    10:00 ~ 20:30
  • 목요일

    14:30 ~ 19:00
  • 토요일

    09:00 ~ 15:30
  • 점심시간

    13:00 ~ 14:30

춘추치과교정과의원 오시는 길

#Instargram
Follow us @춘추치과교정과

빠른상담신청